Skin Dyspigmentation
in Prurigo Nodularis

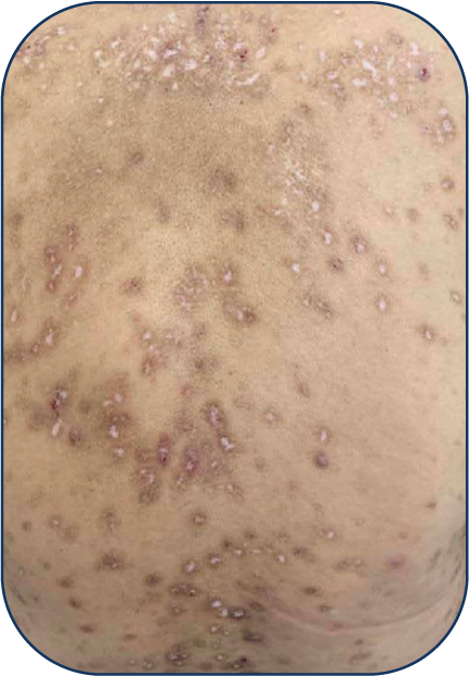
PN lesion clinical manifestations

Dyspigmentation is a common clinical manifestation of PN

Hyperpigmented rim1

Dyspigmentation is more
common in patients of color2,3

What process causes dyspigmentation?

Post-inflammatory responses
to scratching may lead to increased melanin
production
and subsequent macrophage
phagocytosis
causing hyperpigmentation2,4,5

Conversely, PN lesions may also heal
with post-inflammatory hypopigmentation6

How do PN clinical manifestations impact patients?

Body dysmorphic disorder is
6.5–fold
more prevalent in patients with PN7

45%
of patients note
anxiety
from physical appearance8